Safe, affordable, and effective—resin to repair broken teeth is the ideal solution for minor dental damage. Book an appointment today!
Benefits of Resin for Dental Repairs
Cost-Effective Solution
Resin to repair broken teeth is a budget-friendly option compared to crowns or veneers. It offers high-quality results at a fraction of the cost. For patients in Brandon, Florida, this solution ensures affordable care without compromising on aesthetics or durability.
Quick and Efficient Procedure
Dentists can complete a resin repair in a single visit. The resin bonds directly to the tooth, cutting down the time needed for lengthy dental work. This quick turnaround means you can restore your smile and get back to your day with minimal disruption.
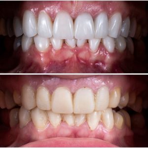
Natural-Looking Results
The resin material is highly customizable. Dentists carefully match the shade of the resin to your natural tooth color, ensuring seamless integration. This means the repair looks natural, giving you the confidence to smile without hesitation.
The Resin Repair Process Explained
Initial Consultation and Examination
Every resin to repair broken teeth procedure begins with a thorough examination. Dentists assess the damage to determine if resin is the best option. X-rays may be taken to ensure the tooth’s structure is healthy and capable of supporting the repair.
Prepping the Tooth for Bonding
The tooth is cleaned and lightly etched to create a surface that the resin can bond to effectively. This step ensures the resin adheres securely, providing a strong and durable repair. Your dentist will also isolate the tooth to keep it dry during the procedure.
Applying and Shaping the Resin
The resin is carefully applied to the tooth in layers, allowing the dentist to shape it precisely. Once the desired shape is achieved, a special curing light hardens the resin. This step ensures the repair is strong and ready for daily use.
Why Resin is Ideal for Minor Tooth Damage
Versatility in Repairing Chips and Cracks
Resin to repair broken teeth is highly versatile, making it perfect for fixing small chips, cracks, and minor gaps. Its malleability allows dentists to mold it into the precise shape needed, restoring both function and appearance in one sitting.
Safe for Patients of All Ages
Whether you’re an adult or a child, resin repairs are a safe and effective solution. The procedure is minimally invasive, requiring little to no removal of the natural tooth structure. This makes it a preferred option for younger patients and those with dental anxiety.
Durable and Long-Lasting
With proper care, resin repairs can last several years. The material is designed to withstand daily use, including chewing and biting. By maintaining good oral hygiene and visiting your dentist regularly, you can extend the lifespan of the repair.
Comparing Resin Repairs to Other Dental Options
Resin vs. Dental Crowns
Resin to repair broken teeth is far less invasive than crowns. Crowns require extensive tooth reshaping, while resin preserves most of the natural tooth. It’s also more affordable, making it an excellent option for minor damage that doesn’t compromise tooth strength.
Resin vs. Veneers
While veneers are ideal for larger cosmetic changes, resin is perfect for targeted repairs. Veneers cover the entire tooth surface, but resin focuses on the damaged area. This makes resin a quicker and more cost-effective solution for small chips and cracks.
Resin vs. Temporary Fillings
Temporary fillings are exactly that—temporary. Resin provides a permanent solution for minor repairs, offering better durability and aesthetics. It’s the superior choice when you want a reliable, natural-looking fix that stands the test of time.
Caring for Teeth After a Resin Repair
Avoiding Staining and Discoloration
To maintain the appearance of resin used to repair broken teeth, avoid foods and drinks that stain, like coffee, tea, and red wine. Smoking can also discolor resin, so it’s best to steer clear. A little mindfulness goes a long way in preserving the resin’s natural look.
Maintaining Oral Hygiene
Proper brushing and flossing are essential for protecting both the resin repair and your natural teeth. Use a soft-bristled toothbrush and non-abrasive toothpaste to avoid scratching the resin. Consistent oral hygiene keeps your repair looking great and your mouth healthy.
Regular Dental Check-Ups
Schedule routine check-ups to ensure your resin repair remains intact. Dentists can spot any issues early, such as wear or damage to the resin. Regular visits also allow your dentist to polish the resin, keeping it smooth and bright over time.
Trust Dental Theory in Brandon for Resin Repairs
Expertise of Dr. K and Dr. Pri
At Dental Theory, Dr. Chris Karapasha and Dr. Priyanka Karapasha bring specialized skills to every procedure. Dr. K excels in adult and cosmetic dentistry, ensuring precise, aesthetically pleasing resin repairs. Dr. Pri’s gentle care makes resin to repair broken teeth a comfortable experience for children and adults alike.
State-of-the-Art Dental Equipment
Dental Theory uses advanced technology to deliver top-quality resin repairs. From diagnostic imaging to precision tools, every aspect of your treatment is designed for efficiency and excellence. This ensures your repair is durable, natural-looking, and tailored to your needs.
Patient-Centered Care
Your comfort and satisfaction are the top priorities at Dental Theory. The team takes the time to explain every step of the process, answer your questions, and ensure a stress-free experience. Whether it’s a minor chip or a larger repair, you’ll leave with a smile you’re proud of.
Conclusion
Restore Your Smile with Confidence
Resin to repair broken teeth is a reliable, cost-effective, and natural-looking solution for restoring damaged teeth. Whether you need a quick fix for a chipped tooth or a long-lasting repair for minor cracks, Dental Theory in Brandon is here to help.
Why Choose Dental Theory?
Dr. Chris and Dr. Pri Karapasha bring a blend of expertise, state-of-the-art technology, and personalized care to every resin repair. Their focus on patient comfort and precision ensures you’ll receive the best possible results.
Book Your Appointment Today
Ready to transform your smile? Book an appointment with Dental Theory Brandon or explore the Patient Portal for easy scheduling. Don’t just take our word for it—check out what our happy patients have to say on Dental Theory Brandon’s Reviews.
FAQs
Q: How long does resin to repair broken teeth last?
A: Resin repairs can last 5 to 10 years with proper care. Regular dental visits and good oral hygiene extend their durability.
Q: Is the resin repair process painful?
A: The procedure is minimally invasive and typically pain-free. If needed, dentists can apply local anesthesia to ensure your comfort.
Q: Can resin match the natural color of my teeth?
A: Yes, the resin is carefully color-matched to your natural teeth for a seamless and natural appearance.
Q: Can I eat normally after getting resin to repair broken teeth?
A: Yes, but avoid hard or sticky foods for the first 24 hours to allow the resin to fully set. After that, you can resume your regular diet.
Q: Is resin repair suitable for children?
A: Absolutely. Resin repairs are safe and effective for patients of all ages, including children.





